Have you noticed your gums receding? Have you developed black triangles in your smile? The team at the Dental House can help provide effective treatment options when it comes to black triangle closures that target gaps between teeth caused by gum recession, bone loss, or tooth movement. Dr. Sonya Krasilnikov and Dr. Irina Sinensky proudly serve patients throughout Greenwich Village, West Village, East Village, Flatiron, Chelsea, Soho, Tribeca, NoHo, Lower East Side, Gramercy Park, and the surrounding areas.
Contact our dental office today to learn more about the benefits of black triangle closure or book an appointment online!
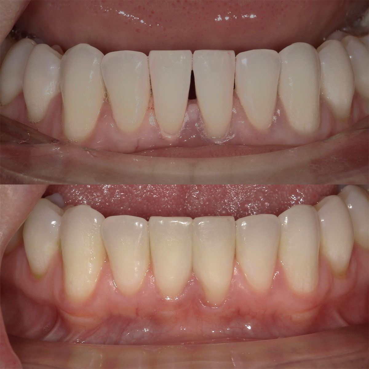
Black triangles are spaces that form between your teeth, creating visible gaps in the gumline. These gaps can affect your confidence and how you smile. They can develop due to different factors including gum recession, bone loss, and tooth movement. Fortunately, our experienced dental team can help address this issue and restore your smile's natural beauty.
At Dental House, we offer several effective treatments for black triangle closures. One option includes dental bonding where tooth-colored composite resin is applied to fill the gaps and create a seamless appearance. Another option is porcelain veneers, which are custom-made shells that cover the front surface of the teeth, closing the black triangles. In some cases, orthodontic treatment or gum contouring may be recommended to address the underlying causes of the gaps.
At Dental House, serving the Greenwich Village, West Village, East Village, Flatiron, and Chelsea, NY areas, our skilled dental team will assess your specific situation and recommend the most suitable treatment option to restore your smile's natural beauty. Don't let black triangle closures affect your confidence – contact Dental House today to schedule a consultation.
