A dental emergency can happen at any time, but it’s important to be prepared. Accident, trauma — whatever the case, you can count on the emergency dentists at Dental House to help you when you need it most. When you’re in dire need professional dental restorations or emergency dental care, Dr. Sonya Krasilnikov and Dr. Irina Sinensky know that the last thing you want to do is wait. That’s why their response time is always prompt and straight to the point when it comes to assessing any damage to your oral health. From chipped tooth repair, tooth extractions, and gum bleeding to extreme mouth pain and missing crowns, we are here to address your concerns and needs.
For all dental emergencies, call or book an appointment online with Dental House today. We proudly serve those throughout Greenwich Village, West Village, East Village, Flatiron, Chelsea, Soho, Tribeca, NoHo, Lower East Side, Gramercy Park, and the surrounding areas.

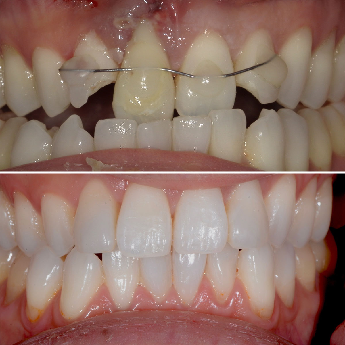
Believe it or not, it’s hard to know if your dental problem requires emergency attention just by taking a peek inside your mouth.
Initially, a broken tooth may not even hurt or bother you much, but don’t be fooled! Broken or severely damaged teeth can cause swelling, infection, or discomfort, even if you don’t feel pain right away.
Some common dental emergencies include:
Something as small as eating the wrong food or clenching your teeth too hard can cause your teeth to crack and break, so it’s important to call for help right away.
The right dental office will always be there for you in case of an emergency, which is why you must do your research before choosing the right dentist for you and your family.
At Dental House in Greenwich Village, the team prides itself on caring for each and every patient in times of emergency.
Some benefits of choosing Dental House include:
Remember: the sooner you schedule an appointment, the sooner you can get your dental health back on track after an emergency.

Before scheduling an emergency appointment, take a few steps to keep your oral health in check.
Should your tooth crack, do not continue chewing or biting until you can have your damaged tooth properly assessed.
If your tooth gets knocked out unexpectedly, the first step is to find your missing tooth!
Next, stop by your local pharmacy as soon as you can and pick up a bottle of Hank’s Balanced Salt Solution, which helps clean the affected area.
Last but not least, schedule an emergency appointment with your dentist right away, so they can get to work on assessing and repairing your tooth damage.
Again, sudden tooth pain, swelling, or bleeding can be a sign that something just isn’t right inside your mouth.
Call or book an appointment online today to learn more about how Dental House in Greenwich Village can help you during a dental emergency.

